オーラルエステでお口の中と外からアプローチ!姿勢改善や、美容、健康のお手伝いをします
健康の土台づくりをしたい、キレイになりたい女性へ お口の中からキレイになりませんか

受付時間:10:00~18:00(営業日 金.土.日)

ご予約 お問い合わせ

  1. ブログ
  2. 歯磨きしてるのに歯がグラグラするのは、なぜ❓❓
 

歯磨きしてるのに歯がグラグラするのは、なぜ❓❓

2026/04/25

38/100

1日に3回も4回も歯磨きしてるんです。
硬い食べ物噛んだら歯がグラグラ抜けそうになってしまったヽ( ̄д ̄;)ノ=3=3=3
と医院に駆け込んで来られた方が居ました

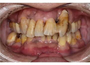
重度の歯周病

※その方のお口の中ではございません。
重度歯周病ってこんな感じのイメージです

毎日1日3回以上歯ブラシをしていても
歯周病が進行していくって、とっても怖い事ですよね。

歯周病は感染症

歯周病は、

歯垢(プラーク)中の細菌が原因で引き起こされる「感染症」です。

唾液を介してパートナーや家族間、親から子へうつる可能性があり、

 

人類史上最も感染者数が多いとしてギネス世界記録に認定されています。


ただし、菌が口に入っただけで必ず発症するわけではなく、免疫力や生活習慣(喫煙など)が影響します。

 

歯周病菌と歯周病菌同士が複雑に絡みあって、

バイオフィルムと言う幕を作って、その絡み合いが解け難い様になっているんだな

 

 歯ブラシだけでは取れきれないから、除菌殺菌の歯磨き粉を使ったり、マウスウォッシュをって言う事になるんだよね

 

歯周病にならない様にするには、

やはり

きっちりとした歯磨きをする→歯と歯茎の境目や歯と歯の間を磨くに限る

定期的な検診と口腔ケアを受けるかな

 

歯周病の治療は、

まずは毎日のセルフケアで歯磨きを頑張る

正しい磨き方でね

 

歯石を取る

歯石を取る

歯石を取る

 

簡単に書いてるけど、ここで大きな歯石から、

歯茎の下にある硬い細かな歯石まで取る

 

動いてグラグラの歯は抜く

余りにもグラグラな歯は、体自体がこの歯もうイランって追い出そうとしてる歯なので、抜く

 

ダメな歯を抜くと、歯磨きもやり易くなるんだ

 

そして、抜いた歯の所は、ブリッジか入れ歯で歯を細工して噛める状態にする

 

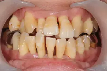
残りの歯は、歯石除去も終わって来たので、

歯の表面をツルツルに磨いて、歯垢や食べかすが留まらないようにする。

 

※同じ方の写真では無いです

こんな風なイメージです

 

ここからは定期検診が大切になってくるんだよ。

こんなにも何度も通院して色々な治療頑張ったんだから、それがまた悪くならない様にする事が大切になってきます。

 

是非、セルフケアも定期検診も大切です

続けてくださいね

 

 

 

 

 

 

 



オーラルエステSourire

オーラルエステSourire 

健康の土台作り 自然と口角が上がる 笑顔美人 お口から身体の繋がりがわかるサロン

ご予約お待ちしております。


受付時間:10:00~18:00( 営業日 金.土.日)

所在地 :  〒590-0953 大阪府堺市堺区甲斐町東6丁1−4  

ご予約 お問い合わせ