堺市でお口から健康に美しくを目指して
お口の中からエステをしています。
ほうれい線や二重顎、フェイスラインが気になる
食いしばり、歯ぎしりが気になる。
舌に歯型ついていて、朝起きたら顎に痛みがある
こんなお悩みの方にオススメの
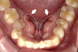
オーラルエステです。口の中にできるできもの
フィステル(ろう孔)、サイナストラクトとも呼ばれている。




骨隆起はなに?コブみたいだけど大丈夫?

まとめ
堺市でお口から健康に美しくを目指して
お口の中からエステをしています。
ほうれい線や二重顎、フェイスラインが気になる
食いしばり、歯ぎしりが気になる。
舌に歯型ついていて、朝起きたら顎に痛みがある
こんなお悩みの方にオススメの
オーラルエステです。
ホムンクルスと言って脳から見た人の模型

堺市でお口から健康に美しくを目指して
お口の中からエステをしています。
ほうれい線や二重顎、フェイスラインが気になる
食いしばり、歯ぎしりが気になる。
舌に歯型ついていて、朝起きたら顎に痛みがある
こんなお悩みの方にオススメの手洗い、うがいに鼻うがい

手洗い
手の正しい洗い方

うがい

鼻うがい


まとめ
堺市でお口から健康に美しくを目指して
お口の中からエステをしています。
ほうれい線や二重顎、フェイスラインが気になる
食いしばり、歯ぎしりが気になる。
舌に歯型ついていて、朝起きたら顎に痛みがある
こんなお悩みの方にオススメの
オーラルエステですお口の上にいつもいる鼻についてです。
鼻とは
鼻は、においを感じたり、呼吸をするはたらきをしています。 また、鼻毛で空気の中のチリやゴミ、ウイルスなどがからだのなかに入るのを防いだり、空気の湿度や温度を調節をしてくれています。加湿器(かしつき)やエアコンのような役割をしていて、吸った空気が直接肺に入り込まない様に肺にムリな負担がかからないようにしています。鼻毛の働きは?


どうして、口呼吸になってしまうんですかね?
堺市でお口から健康に美しくを目指して
お口の中からエステをしています。
ほうれい線や二重顎、フェイスラインが気になる
食いしばり、歯ぎしりが気になる。
舌に歯型ついていて、朝起きたら顎に痛みがある
こんなお悩みの方にオススメの
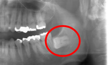
オーラルエステです親知らず
どの歯が親知らず?

歯茎が半分被っている歯、斜めになってる歯

骨の中で逆さまの歯

骨の中で真横の歯


歯を削る道具が、親知らずまで届きにくくて、完全にむし歯を取り切る事ができなかったりします。親知らずの治療はかなり難しいです。一枚目写真の様に真っ直ぐに生えている歯ならば、器具が届けば治療できます。

まとめ
堺市でお口から健康に美しくを目指して
お口の中からエステをしています。
ほうれい線や二重顎、フェイスラインが気になる
食いしばり、歯ぎしりが気になる。
舌に歯型ついていて、朝起きたら顎に痛みがある
こんなお悩みの方にオススメの
オーラルエステです
歯の磨き方 小ネタ集
歯ブラシの持ち方🪥




堺市でお口から健康に美しくを目指して
お口の中からエステをしています。
ほうれい線や二重顎、フェイスラインが気になる
食いしばり、歯ぎしりが気になる。
舌に歯型ついていて、朝起きたら顎に痛みがある
こんなお悩みの方にオススメの
オーラルエステです口腔底を広げるのは痛いの?

まとめ
堺市でお口から健康に美しくを目指して
お口の中からエステをしています。
ほうれい線や二重顎、フェイスラインが気になる
食いしばり、歯ぎしりが気になる。
舌に歯型ついていて、朝起きたら顎に痛みがある
こんなお悩みの方にオススメの
オーラルエステです
足🦶を触る理由
ディープフロントラインとは、





堺市でお口から健康に美しくを目指して
お口の中からエステをしています。
ほうれい線や二重顎、フェイスラインが気になる
食いしばり、歯ぎしりが気になる。
舌に歯型ついていて、朝起きたら顎に痛みがある
こんなお悩みの方にオススメの
オーラルエステです2024年3月によく読まれたブログ記事
1位 ルポ 色彩心理カウンセラー4級講座を受けて来たよ。愛❤️のある講座でした^_^
2位 口から健康になるエステ
3位 フッ素はどんな効果があるのか?開始時期や量は、濃度は?(フッ素 パート3)
まとめ
堺市でお口から健康に美しくを目指して
お口の中からエステをしています。
ほうれい線や二重顎、フェイスラインが気になる
食いしばり、歯ぎしりが気になる。
舌に歯型ついていて、朝起きたら顎に痛みがある
こんなお悩みの方にオススメの
オーラルエステです小ネタ集です😊
歯磨きをする時の歯ブラシ🪥お水を付けてから、歯磨き剤をつけますか?

歯磨きの後のうがいこれもまた、どうされてますか?

歯間ブラシはいつしますか?
歯ブラシの毛先は、歯面に対して90°で直角に当てて欲しい
持ち方は鉛筆持ちで!
細かな動きができる。
口腔機能って言葉聞いたことありますか?
28/100 口腔機能ってなに?実は「見た目」と「健康」に深く関係しています 「口腔機能(こうくうきのう)」っ