堺市でお口から健康に美しくを目指して
お口の中からエステをしています。
ほうれい線や二重顎、フェイスラインが気になる
食いしばり、歯ぎしりが気になる。
舌に歯型ついていて、朝起きたら顎に痛みがある
こんなおすすめのエステです。

歯を失う原因の多くは歯周病です。その歯周病菌が…
堺市でお口から健康に美しくを目指して
お口の中からエステをしています。
ほうれい線や二重顎、フェイスラインが気になる
食いしばり、歯ぎしりが気になる。
舌に歯型ついていて、朝起きたら顎に痛みがある
こんなおすすめのエステです。私達に必要な水分量

私たちの体の約60%は水分でできており、1日のうちにさまざまな形で水分を失います。そのため、適切な水分補給が欠かせません。
口腔乾燥や、肌の乾燥、鼻の乾燥、膣も乾燥するだよねーで、60%の水分量あるはずなのに、
摂取量が足らないのかと思う私です。
1日に排出される水分量
成人は1日約2.5リットルの水分を排出すると言われています。その内訳は以下の通りです。
• 尿 : 約1.5リットル
• 汗 : 約0.5リットル(運動や気温によって変動)
• 呼吸や皮膚からの蒸発 : 約0.5リットル
• 唾液 : 約1〜1.5リットル
(口の中は、たくさん出ますがほとんど再吸収されます)
唾液は、食べ物の消化を助けるだけでなく、口内の浄化や殺菌、歯の再石灰化など重要な役割を果たしています。
1日に必要な水分量

失われた水分を補うために、成人は1日約2.5リットルの水分を摂取する必要があります。その内訳は以下の通りです。
• 飲み物から : 約1.2リットル
• 食事に含まれる水分から : 約1リットル
• 体内で作られる水(代謝水) : 約0.3リットル
堺市でお口から健康に美しくを目指して
お口の中からエステをしています。
ほうれい線や二重顎、フェイスラインが気になる
食いしばり、歯ぎしりが気になる。
舌に歯型ついていて、朝起きたら顎に痛みがある
こんなおすすめのエステです。いびきと女性の更年期
いびきというと「男性のもの」というイメージを持たれる方も多いですが、実は女性もいびきをかくことがあります。特に更年期を迎えると、今までいびきをかかなかった人でも急にいびきをかくようになることがあります。

なぜ更年期にいびきが増えるの?
1. ホルモンバランスの変化
更年期に入ると、エストロゲンやプロゲステロンといった女性ホルモンの分泌が減少します。
これらのホルモンには、気道を広げる役割があり、減少すると気道が狭くなりやすくなるため、いびきをかきやすくなります。
2. 筋力の低下
年齢とともに全身の筋肉が衰えるのと同様に、舌や喉周りの筋肉も衰えます。その結果、寝ている間に舌が喉の奥に落ち込みやすくなり、いびきを引き起こします。
3. 体重の増加
更年期になると代謝が落ち、体重が増加しやすくなります。特に首回りに脂肪がつくと気道が狭くなり、いびきをかきやすくなります。
4. 鼻や喉の乾燥
加齢に伴い、唾液の分泌量が減少し、喉や鼻の粘膜が乾燥しやすくなります。乾燥すると粘膜が腫れやすくなり、気道が狭くなるため、いびきを引き起こしやすくなります。堺市でお口から健康に美しくを目指して
お口の中からエステをしています。
ほうれい線や二重顎、フェイスラインが気になる
食いしばり、歯ぎしりが気になる。
舌に歯型ついていて、朝起きたら顎に痛みがある
こんなおすすめのエステです。猫舌って治るの?

「猫舌(ねこじた)」
熱い食べ物や飲み物をうまく食べられない人「私、猫舌だから…」と言って、フーフー冷ましてから食べる方も多いですよね。
でも、実は猫舌は“体質”ではなく、舌の癖です。食べ方や思い込みが関係しているって知ってましたか?
猫舌の原因とは?

① 舌の使い方
熱いものを食べるとき、舌の先に食べ物を乗せていませんか?舌の先端は熱さにとても敏感なため、すぐに「熱い!」と感じてしまうのです。
② 熱さに敏感な舌先で食べている
実は、舌の真ん中や奥の方は舌先ほど熱さに敏感ではありません。猫舌でない人は無意識に、熱い食べ物を舌の奥へ運ぶ工夫をしているのです。
③ 「自分は熱いものが苦手」という思い込み
一度「自分は猫舌だ」と思い込むと、熱い食べ物に対する苦手意識が強まり、ますます敏感に感じてしまうことがあります。
猫舌の克服法
「猫舌は治らない」と思っていませんか?実は、舌の使い方を変えるだけで改善できる可能性があります。
1. 舌を奥へ引っ込めて
舌を熱い所へ持っていくので、熱いから舌を奥へ引っ込めて唇の先でずっずっずと空気と混ぜて吸う
2.固形の食べ物だと、舌先に当てず舌の真ん中〜奥の方に食べ物を入れると食べやすい
3.歯ブラシを使った舌の位置改善
歯ブラシを下の前歯の裏側に軽く当てることで、舌が自然に上がり、食べ物を舌の奥へ運びやすくなります。
4. 少しずつ温度を上げる練習
最初はぬるめの飲み物から始め、少しずつ温度を上げながら1週間ほどかけて慣れていくと、熱さに適応しやすくなります。
まとめ
堺市でお口から健康に美しくを目指して
お口の中からエステをしています。
ほうれい線や二重顎、フェイスラインが気になる
食いしばり、歯ぎしりが気になる。
舌に歯型ついていて、朝起きたら顎に痛みがある
こんなおすすめのエステです。今日はちょっと言葉を書きたいなぁと思ってます。なになに言葉って?
口のついたことわざっていっぱいありそうで、
ちょい調べてみました。
口にまつわることわざ・言葉をいくつかご紹介
ことわざ

1. 口は災いの元(不注意な発言がトラブルを招く)
2. 一言も千金(価値ある言葉は大きな影響を持つ)
3. 口が軽い(秘密をすぐに話してしまう)
4. 口を割る(秘密を白状する)
5. 口が肥える(美味しいものを知っていて味にうるさい)
6. 口が悪い(辛辣な言葉を使う)
7. 口が滑る(うっかり言ってはいけないことを話してしまう)
8. 口を酸っぱくする(何度も繰り返し注意する)
9. 口にする(①食べる ②話題にする)
10. 二枚舌を使う(嘘をついたり、裏表のあることを言う)

11.良薬は口ににがし(自分の為になる忠告は素直にききずらい)
口にまつわる名言・表現
1. 「沈黙は金、雄弁は銀」(話しすぎるより黙っている方が価値があることもある)
2. 「笑う門には福来る」(よく笑う家には幸せが訪れる)
3. 「美しい言葉は、美しい人生をつくる」(ポジティブな言葉が良い人生につながる)
「口は災いの元」とも言いますが、「言霊」というように、口から発する言葉には大きな力があります。私もよく「口を滑らせてしまいます」💦
「言霊」の力を信じて進みたいと思ってます。
美味しいものを食べるのも、素敵な言葉を交わすのも、感動を伝えるのも、すべて口から。
大切に使えば、人生がもっと豊かになるかもしれませんね!
さて、今日も口角を1㎜上げて、素敵な一日を
堺市でお口から健康に美しくを目指して
お口の中からエステをしています。
ほうれい線や二重顎、フェイスラインが気になる
食いしばり、歯ぎしりが気になる。
舌に歯型ついていて、朝起きたら顎に痛みがある
こんなおすすめのエステです。
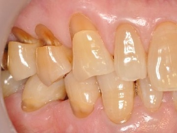
むし歯や歯周病じぁなくて歯🦷が削れた事ないですか?
冷たい物が歯に当たるとシミル、知覚過敏症になった事ないですか?
知覚過敏症にも色々あってむし歯だったり、歯周病でだったりする事も多いですが
噛み合わせの力だったり、歯ブラシ🪥の擦る力だったりで歯が削れてシミルも多くあります。
今日は、歯ブラシや噛み合わせの力で歯が削れてシミルの方の話です。

写真の左上辺りの歯🦷がくさび状に削れているの見えますか?
これ、歯ブラシでこする力で
歯が削れてしまっているんです。

この画像の様に、歯茎との境目がけずれる事が多いのですが、なぜこの場所かと言うと
エナメル質とセメント質の境目だからです。
エナメル質はすっごく硬くて鉄よりも硬いんですが、セメント質は、それよりも柔らかい
そんな境目をゴシゴシと磨く事で歯がすり減ってしまうんです。
毎日毎日、ゴシゴシと磨いても歯🦷はキレイになりませんよ。なるべく細かく動かす。
力は入れないで磨のが一番です。
歯磨きをする前に歯間ブラシやフロス、糸ようじで歯と歯の間に溜まった食べカスと歯垢をしっかり落としてからするともっと磨くの楽になりますよ。
是非是非、自分の歯を自分で削り減らさない様に、柔らかめの歯ブラシで優しく細かく磨いて下さいね。
歯磨きの仕方は現役の歯科衛生士の私にも是非聞いて下さいねー
堺市でお口から健康に美しくを目指して
お口の中からエステをしています。
ほうれい線や二重顎、フェイスラインが気になる
食いしばり、歯ぎしりが気になる。
舌に歯型ついていて、朝起きたら顎に痛みがある
こんなお悩みの方にオススメの
オーラルエステです



堺市でお口から健康に美しくを目指して
お口の中からエステをしています。
ほうれい線や二重顎、フェイスラインが気になる
食いしばり、歯ぎしりが気になる。
舌に歯型ついていて、朝起きたら顎に痛みがある
こんなお悩みの方にオススメの
オーラルエステです

1. 花粉を避ける
• 外出時はマスク・メガネ・帽子を着用
• 花粉の多い日は外出を控える(特に朝・夕)
• 帰宅時は衣服や髪についた花粉を払う
2. 室内の花粉対策
• 換気は短時間で済ませる
• 加湿器を使い、花粉の舞い上がりを防ぐ
• こまめに掃除し、空気清浄機を活用
3. 体調管理
• バランスの良い食事で免疫力を整える
• 睡眠をしっかり取り、ストレスを減らす
• 乳酸菌やポリフェノールを含む食品を積極的に摂取
とあります。
鼻うがいオススメです。
慢性的に鼻の悪い人にもしっかりと鼻の奥まで
洗い流してくれるので、すっかり気持ちいいですよ。
私のオススメの鼻うがいは

サイナスリンスです。
大きめのボトルで、鼻に付いた花粉や、細菌をしっかりと洗い流せるのがイイ
一包一包に洗浄剤が別れてて計量しなくてもOK
持ち運びにも便利だよ
よかったら使ってみて。
鼻痛く無いです。
そして、
オーラルエステも鼻呼吸をしやすくする
のでもちろん大大オススメです
セルフケアで1ヶ月鼻がちゃんと下向いてます。
少しでも、アレルゲンの侵入を防ぐ事できます。
よかったらお試しくださいねー
堺市でお口から健康に美しくを目指して
お口の中からエステをしています。
ほうれい線や二重顎、フェイスラインが気になる
食いしばり、歯ぎしりが気になる。
舌に歯型ついていて、朝起きたら顎に痛みがある
こんなお悩みの方にオススメの
オーラルエステです「口腔機能発達不全症」と「口腔機能低下症」の違いとは?
「食べる・話す・飲み込む」などの口の働き(口腔機能)は、子どもから高齢者まで、生涯にわたって重要な役割を果たします。しかし、何らかの原因でこの機能が十分に発達しなかったり、加齢や病気によって低下すると、健康や生活の質に大きな影響を与えます。
今回は、「口腔機能発達不全症」と「口腔機能低下症」の違いをわかりやすく解説します。
① 口腔機能発達不全症とは?(主に子ども)
口腔機能発達不全症とは、子どもの口の発達が正常に進んでいない状態のことを指します。
本来、成長とともに「噛む」「飲み込む」「話す」「呼吸する」などの機能が発達しますが、近年は生活習慣の変化や食環境の影響で、これらの機能が十分に育っていない子どもが増えています。
主な原因
✅ 柔らかい食べ物が多く、噛む回数が少ない
✅ 口呼吸の習慣がある(鼻炎・アレルギーなど)
✅ 指しゃぶりや舌の癖(TCH・低位舌など)
✅ 姿勢が悪く、飲み込む力が弱い
放置するとどうなる?
⚠️ 歯並びの乱れ(不正咬合)
⚠️ 発音の問題(舌足らずなしゃべり方)
⚠️ むし歯や歯周病のリスク増加
⚠️ 食べるのが遅い、食べこぼしが多い
成長期にしっかりとした口腔機能を育てることが、健康な歯並びや正しい発音のために大切です。
② 口腔機能低下症とは?(主に高齢者)
口腔機能低下症とは、加齢や病気の影響で「噛む」「飲み込む」「話す」などの口腔機能が低下する状態を指します。
加齢により筋力が衰えるだけでなく、長年の食習慣や歯の喪失によって、噛む力や舌の動きが悪くなることが原因です。
主な原因
✅ 歯の本数が少ない、義歯が合わない
✅ 口周りの筋肉が衰えている(表情筋・舌筋など)
✅ 唾液の分泌が減少し、口が乾燥している(ドライマウス)
✅ 柔らかい食べ物ばかりで噛む回数が少ない
放置するとどうなる?
⚠️ 食事がうまくとれず、低栄養・誤嚥性肺炎のリスクが上がる
⚠️ 話しづらくなり、コミュニケーションが減る
⚠️ 口臭やむし歯・歯周病の悪化
早めに口腔機能の衰えに気づき、適切なケアをすることが重要です。
③ オーラルコンディショニングで健康な口へ!
口腔機能の維持・向上には、「オーラルコンディショニング」が効果的です。
オーラルコンディショニングとは、単なる歯のマッサージだけでなく、「口の中のバランスを整え、噛む・飲み込む・話す機能を改善する」ためのケアを行うことです。
✅ 子どもには…
→ 正しい舌の使い方、口周りの筋肉を鍛えるトレーニング
✅ 高齢者には…
→ 唾液腺マッサージや口腔ストレッチ
口腔機能をしっかり整えることで、健康寿命を延ばし、食事や会話を楽しむことができます!
まとめ
🟢 口腔機能発達不全症(子ども)→ 口の機能が十分に発達していない状態
🟠 口腔機能低下症(高齢者)→ 口の機能が加齢や病気で衰える状態
どちらも「適切なケア」で改善が可能です!
オーラルコンディショニングを取り入れて、口腔機能をしっかり維持していきましょう。
お口の健康は全身の健康につながります!
「なんとなく噛みにくい」「食べるのが遅い」「話しにくい」と感じたら、早めのケアが大切です。
気になることがあれば、ぜひご相談ください!子どもと高齢者の口腔機能を守る!
~オーラルコンディショニングで口の健康をサポート~
こんにちは!
今日は 子どもと高齢者、それぞれに見られる口腔機能の問題と、その改善方法 についてお話しします。
口の機能は 成長とともに発達し、加齢とともに衰えるもの ですが、
適切なケアを行うことで 機能の向上や維持が可能 です!
特に オーラルコンディショニング は、口の筋肉を整え、食べる・話す・飲み込む力をサポートするのに最適!
子どもから高齢者まで、幅広い世代におすすめのケア方法です。
① 子どもの「口腔機能発達不全症」とオーラルコンディショニング
子どもの口腔機能が十分に発達しないと、
✅ 噛む力が弱い(丸飲みする)
✅ 口がポカンと開いている(口呼吸)
✅ 発音がはっきりしない
といった問題が起こります。
こうしたトラブルには オーラルコンディショニング を取り入れるのがおすすめ!
✔ ストレッチオーラル で 舌や口の周りの筋肉を鍛える
✔ 口の中から 適切に刺激を与えることで、噛む・飲み込む力を育てる
✔ 口呼吸から鼻呼吸へ改善 し、歯並びや姿勢にも良い影響を与える
特に 口がポカンと開いている子は、舌の位置が下がっていることが多い ので、
オーラルコンディショニングで 正しい舌の位置を意識すること が大切!
日常的に しっかり噛む習慣をつけること と合わせて、口の機能を鍛えていきましょう。
② 高齢者の「口腔機能低下症」とオーラルコンディショニング
年齢とともに、噛む・飲み込む力が低下し、
✅ 食べこぼしが増える
✅ むせやすくなる
✅ 唾液が減り、口が乾燥する
といった症状が現れます。
このまま放っておくと、誤嚥性肺炎や栄養不足のリスク も高まるため、
早めのケアが大切!
そこで オーラルコンディショニング を取り入れることで、
✔ 口の筋肉を刺激し、飲み込む力をアップ!
✔ 唾液の分泌を促し、口の乾燥を防ぐ!
✔ 口周りの筋肉を整え、食事や会話をスムーズに!
特に ストレッチオーラル を使ったトレーニングは、
無理なく簡単にできるので おうちでのケアに最適!
「最近むせることが増えたな…」と感じたら、
早めに 口の機能を整える習慣 を取り入れていきましょう!
③ オーラルコンディショニングで生涯健康な口を!
子どもも高齢者も、口の機能をしっかり鍛えることが大切!
📌 オーラルコンディショニングを取り入れるメリット
✅ 噛む・飲み込む・話す力をアップ!
✅ 口呼吸を改善し、健康的な歯並び&姿勢に!
✅ 唾液の分泌を促し、口臭や乾燥を防ぐ!
口の機能は 「使わないと衰える」もの ですが、
適切なケアをすれば 年齢に関係なく改善が可能!
オーラルコンディショニングを取り入れて、
子どもはしっかり発達、高齢者は機能維持!
堺市でお口から健康に美しくを目指して
お口の中からエステをしています。
ほうれい線や二重顎、フェイスラインが気になる
食いしばり、歯ぎしりが気になる。
舌に歯型ついていて、朝起きたら顎に痛みがある
こんなお悩みの方にオススメの
オーラルエステですタバコが引き起こす口腔トラブル 🚬 〜口臭だけじゃない、その影響とは?〜

タバコを吸うと「口が臭くなる」と言われますが、実は 口臭だけではなく、さまざまな口腔トラブル を引き起こします。
喫煙が 歯や歯ぐきにどんな影響を与えるのか?
どんなリスクがあるのか?
今日は タバコと口腔の問題 について詳しく書いていきます!
1. 喫煙者特有の口臭(タバコ臭)
タバコを吸うと、
🚬 タールやニコチンが口の中に付着 し、独特の「ヤニ臭」が発生します。
🚬 さらに 喫煙による唾液分泌の低下 により、 細菌が繁殖しやすくなる ため、より強い口臭の原因に!
✅ 喫煙者の口臭の特徴
🔹 タバコ特有の ヤニ臭
🔹 口が乾燥することで ドブのようなニオイ
🔹 歯周病の進行による 腐ったようなニオイ
▶ 口臭対策は?
✔ 吸った後は しっかりうがい・歯磨き をする
✔ 水をこまめに飲んで 口の乾燥を防ぐ
✔ 舌のケア(舌苔を取り除く)
✔禁煙🚭
とはいえ、 完全に防ぐのは難しい のが現実…。
周りの人にも影響を与えるため、タバコの量を減らすことが大切ですね。
2. 喫煙は歯周病を悪化させる!
タバコを吸う人は、吸わない人と比べて 歯周病になるリスクが2〜5倍 と言われています。
なぜなら、タバコに含まれる ニコチンが血管を収縮 させ、
✅ 歯ぐきに 十分な酸素や栄養が届かない
✅ 免疫力が低下し 細菌に感染しやすくなる
✅ 歯ぐきの腫れや出血が少なくなるため、歯周病に気づきにくい
その結果、 知らないうちに歯周病が進行 し、
気づいたときには 歯がグラグラ…抜歯が必要になるケースも!
▶ 歯周病予防のためにできること
✔ 定期的に 歯科検診 を受ける
✔ 毎日の 歯磨き・フロス・歯間ブラシ を徹底
✔ 禁煙を検討する(少しでも本数を減らす!)
「タバコを吸っているけど歯ぐきが健康だから大丈夫」
と思っていても、 歯周病は静かに進行している可能性が…!

3. タバコは歯を黄ばませる(ステインの蓄積
タバコを吸う人の 歯の黄ばみ(ヤニ汚れ) も大きな悩みの一つですよね。
これは タバコに含まれる「タール」が歯にこびりつく ためです。
コーヒーやワインなどの ステイン汚れと違い、タバコのヤニは非常に落ちにくい!
✅ タバコを吸う人の歯の特徴
❌ 歯が黄色〜茶色に変色
❌ 口臭が強くなる
❌ 歯の表面がザラついて汚れがつきやすい
▶ ヤニ汚れを落とすには?
✔ ホワイトニング歯磨き粉 を使う(ただし、効果は限定的)
✔ 定期的な歯科クリーニング でヤニを除去
✔ 禁煙・減煙 で着色を防ぐ
「せっかく歯を磨いても黄ばみが取れない…」
それは タバコの影響が大きい かもしれません!
4. 口腔がんのリスクが高まる
タバコを吸うと 口腔がん(舌がん・歯肉がんなど)のリスクも上昇 します。
🚨 喫煙者の口腔がん発症率は、非喫煙者の約5倍!
🚨 お酒とタバコの両方を習慣的に摂取している人は、さらにリスクUP!
タバコの煙には 数百種類の有害物質 が含まれており、
これが 口の粘膜を刺激し、細胞をがん化させる のです。
✅ 口腔がんの初期症状
☑ 口の中に しこりや白い斑点 ができる
☑ 口内炎が長引く
☑ 舌や歯ぐきに痛みがある
「ただの口内炎かな?」と思っても、なかなか治らない場合は要注意!
気になる症状があれば すぐに歯科・口腔外科で診察を!
タバコと口腔の関係 まとめ
🚬 タバコの影響は口臭だけではない!
✅ ヤニ汚れで歯が黄ばむ
✅ 歯周病が悪化しやすくなる
✅ 口腔がんのリスクが高まる
✅ 口が乾燥して細菌が増え、口臭が強くなる
健康な口を保つためには?
✔ 定期的に 歯科検診・クリーニング を受ける
✔ 毎日の 口腔ケア(歯磨き・フロス・舌磨き) を徹底
✔ 水をこまめに飲む(口の乾燥を防ぐ)
✔ 禁煙・減煙を意識する
「今はまだ大丈夫」と思っていても、
タバコによる口腔ダメージは確実に蓄積 されています。
口臭や歯周病の悩みが増える前に、
自分の口の健康を守る習慣を始めましょう!堺市でお口から健康に美しくを目指して
お口の中からエステをしています。
ほうれい線や二重顎、フェイスラインが気になる
食いしばり、歯ぎしりが気になる。
舌に歯型ついていて、朝起きたら顎に痛みがある
こんなお悩みの方にオススメの
オーラルエステです
歯科医院に来院された60代の男性の方なんですが、いろんなお悩みを持って来院されたんです。
その中に口臭と口が乾くと言う悩みが、私が担当させて頂いたんですが、先生からは、あいうべと歯石除去をと言われました。
口腔内は全体に綺麗にされてました。がお口が開きにくそうで舌も👅とした時に前には出るが出しにくそうと言う事でお口の中から、少し口が開く様に、閉じ易くする事をし、少しでも口唇が閉じれる様に口呼吸をしにくくなる様にさせて頂き、セルフケアでのあいうべを毎日とお伝えしたんです。これで少しでも口臭と口渇が改善されるといいですね。
気になる口臭の原因とは?

口臭が気になる… そんな悩みを抱えている方は意外と多いものです。
「もしかして、周りに不快な思いをさせていないかな?」
「自分では分からないけれど、大丈夫?」
実は口臭の原因は 一つではなく、さまざまな要因が関係 しています。
今回は、特に代表的な 5つの原因 についてお話ししていきます。
① 歯周病による口臭
口臭の原因として 最も多いのが歯周病 です。
歯周病菌が増えることで キャベツが腐ったようなニオイ が発生します。
歯周病が進行すると、歯ぐきの炎症や歯周ポケットの深まりにより、
細菌が 硫黄化合物 という臭いの元を作り出します。
✅ こんな人は要注意!
☑ 歯ぐきが腫れている・出血する
☑ 朝起きたとき、口の中がネバつく
☑ 歯石やプラークがたまりやすい
▶ 改善策:
✔ 正しい歯磨きと歯間ケアを徹底
✔ 定期的な歯科検診・クリーニング
✔ 歯ぐきをマッサージして血流UP
口臭が気になる方は、まず歯周病チェックを!
② 口呼吸による口腔乾燥
「口で呼吸するクセ」があると、口の中が乾燥して 菌が繁殖 しやすくなります。
水たまりが干上がると変な臭いがしてくるように、口の中も 唾液が少なくなると細菌が増え、悪臭の原因に!
✅ こんな人は要注意!
☑ いつも口が乾いている
☑ 朝起きたとき、口の中がカラカラ
☑ 寝ているときに口が開いている
▶ 改善策:
✔ 口を閉じる意識をする(鼻呼吸を意識)
✔ 唾液腺マッサージをする
✔ こまめに水を飲む
✔ ガムを噛んで唾液分泌を促す
口の中が潤うと、口臭も軽減!
③ 胃から上がってくるニオイ(食事・消化不良)
ニンニクやネギなどの ニオイの強い食べ物 を食べた後、口臭が気になることはありませんか?
これは 食べ物が消化・吸収される過程で、臭い成分が血液に取り込まれ、肺から吐き出される ためです。
また、胃の調子が悪く 消化不良を起こしている場合 も、胃の中で発生したガスが口臭の原因になることがあります。
✅ こんな人は要注意!
☑ 食後に口臭が気になる
☑ 胃もたれや胸やけがある
☑ ストレスや暴飲暴食が多い
▶ 改善策:
✔ 食べ過ぎを防ぐ・よく噛んで食べる
✔ 消化の良い食べ物を意識する
✔ 胃の調子を整える(ヨーグルト・発酵食品が◎)
胃腸を整えることも、口臭対策に
!
④ タバコによる口臭(喫煙者特有のニオイ)
タバコを吸う人は 独特の口臭 が出ます。
これは タバコに含まれるニコチンやタールが口腔内に残るため です。
また、タバコを吸うと 唾液の分泌が減少し、口腔乾燥を引き起こす ため、口臭がさらに強くなります。
✅ 喫煙者の口臭の特徴
🚬 タバコ臭 → 服や髪にも染みつく独特のニオイ
🚬 口腔乾燥臭 → 口の中が乾燥し、細菌繁殖で悪臭
🚬 ヤニ臭 → ニコチン・タールが歯や舌にこびりつく
✅ 喫煙による口臭の悪循環
① 唾液が減る → 口の中の自浄作用が低下
② 歯周病になりやすい → 口臭がさらに悪化
③ 肺から臭いが上がってくる → タバコ特有の臭いが消えにくい
▶ 改善策:
✔ 禁煙するのがベスト!
✔ 吸った後は しっかりうがい・歯磨き
✔ 水をこまめに飲む(口腔乾燥を防ぐ)
✔ 舌のケア(舌苔を取り除く)
タバコは 歯周病リスクも高める ので、
口臭を防ぐためにも、できるだけ控えたいですね。
⑤病気が原因の口臭
口臭は 体の異変のサイン であることもあります。
例えば…
🦷 虫歯・歯周病 → 腐ったようなニオイ
👅 舌苔(舌の汚れ) → ドブのようなニオイ
🫁 呼吸器系の病気(副鼻腔炎・気管支炎など) → 膿っぽいニオイ
🩸 糖尿病 → 甘酸っぱいニオイ(アセトン臭)
▶ 改善策:
✔ 原因が分からない口臭は、歯科や内科を受診
✔ 口腔ケアだけでなく、体調管理も意識する
「いつもと違う口臭」は、病気のサインかも!?
口臭の原因を知って正しく対策!
口臭が気になると、人との会話やコミュニケーションも ちょっと不安になりますよね💦
でも、原因を知って正しく対策すれば、防ぐことは可能!
✅ 歯周病ケアをしっかり
✅ 口の中を乾燥させない
✅ 胃の健康を意識する
✅ 体調管理も忘れずに
堺市でお口から健康に美しくを目指して
お口の中からエステをしています。
ほうれい線や二重顎、フェイスラインが気になる
食いしばり、歯ぎしりが気になる。
舌に歯型ついていて、朝起きたら顎に痛みがある
こんなお悩みの方にオススメの
オーラルエステです大好きな仲間のために✨サプライズパーティー大成功!
私が習っているフラサークルには、姉妹で参加している素敵なお二人がいます。
なんと、お二人とも2月生まれ!✨ そこで、フラの先生から「サプライズパーティーをしよう!」と発表が。
「わぁ、いいですね!」なんて思ったら… まさかの幹事側!?😳
こうして、約1ヶ月前からサプライズ計画がスタートしました!
まずは会場探しから!
パーティーの規模を考えて、みんなに声をかけたら なんと39人が参加表明!
主役の姉妹を入れると41人という 超・大規模パーティー に。

でも… 40人以上が入る会場ってどこ!?
お店でコース料理にするか、レンタルスペースを借りて持ち寄りパーティーにするか…
悩んだ末、キッチン付きのレンタルスペース に決定!
ただ、スペースにはどんな設備があるのか分からなかったので、食器や調理器具はすべて持ち込み で進めることに。
お腹の空き具合も考えて…

パーティーの前に、すでに別の宴会に参加しているメンバーもいるので、
「しっかり食べたい派」と「もうお腹いっぱい派」が混在することが判明。
そこで、
✅ 幹事側でボリュームのある料理を用意(餃子・豚汁・ローストビーフ・サラダチキン・豚角煮など)
✅ 参加者は軽く一品持ち寄り
というスタイルに決定!
さらに、「料理を作りたい!」というメンバーも続出し、どんどん豪華な食卓に!
アイデア満載!パーティープランの宝庫

相方幹事さんが まるでプロのプランナー並みに次々とアイデアを出してくれて、
気づけば 超・盛りだくさんのプログラム に!
🌺 フラサークルらしく、みんなでフラダンス!
🎎 ひな祭りが近いので、主役を白塗りのお雛様に!3人官女付きでフラを一曲披露!
👹 鬼に扮して、感謝の気持ちとレイをプレゼント!

🎂 手作りシュークリームケーキ!

💃 腹芸バースデーダンス!

🎥 主役のために作ったオリジナル動画上映!
とにかく 笑いと感動の嵐!
会場は大盛り上がりで、なんと 3時間のレンタル予約を2時間延長 するほどの熱狂ぶり!
サプライズ大成功!!✨

忙しい姉妹なので、「もし当日来られなかったらどうしよう…💦」という不安もあったけれど、
無事に連れてきてもらえて、しかも めちゃくちゃ喜んでくれた!🥹
さらに、参加したみんなも 「楽しすぎた!」「こんなパーティー初めて!」 と大満足。
企画・準備は本当に大変だったけど、 この笑顔のためならまたやりたい! と思える最高の時間でした!
さて、我が家のホットプレート(特大サイズ)、まだ洗えてません…😂
これから片付けます!笑
堺市でお口から健康に美しくを目指して
お口の中からエステをしています。
ほうれい線や二重顎、フェイスラインが気になる
食いしばり、歯ぎしりが気になる。
舌に歯型ついていて、朝起きたら顎に痛みがある
こんなお悩みの方にオススメの
オーラルエステです歯周病治療中の患者さまへ—お口の中もシンクのようにピカピカに!

今日は、歯周病治療でお越しの患者さまのお話です。
歯周ポケットの状態はそれほど悪くないものの、磨き残しが多いのが気になるところ。特に上の奥歯は、一本まるごと磨き残しがある状態で、歯の動揺も見られました。
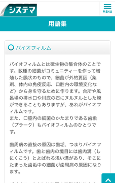
そこで、お口のバイオフィルムについてお伝えする際に、
**「台所のシンクのようなものですよ」**
と説明しました。
すると、患者さまは
「シンクは綺麗にしてるのにねぇ〜」と。
そうなんです!シンクはピカピカにするのに、お口の中は見えないからといって油断しがち。でも、お口の中も毎日キレイにお手入れすることが大切です。
「シンクもお口も、ピカピカにしましょうね!」と笑顔でお伝えしました。

ライオンのシステマにも、バイオフィルムとはと
書いてました。
ぜひまた見て下さい。
堺市でお口から健康に美しくを目指して
お口の中からエステをしています。
ほうれい線や二重顎、フェイスラインが気になる
食いしばり、歯ぎしりが気になる。
舌に歯型ついていて、朝起きたら顎に痛みがある
こんなお悩みの方にオススメの
オーラルエステです約10年ぶりのUSJ!進化したパークを満喫🎢🎮

今日は、超久しぶりのUSJ へ!
なんと 約10年ぶり !
月に一度の「大人の遠足」として行ってきました♪
🎟 チケット購入も時代の流れを感じる…
まず驚いたのが、発券窓口へのアクセスの変化。
前はスムーズに行けたのに、今は 柵が設置され、手荷物チェックが強化 されてる!
手荷物チェックを通らないと窓口へ行けなくなっていました。
多くの人は事前にチケットを予約購入していて、窓口で並んでいる人は少なめ。
私たちは 従来の方法でチケットを購入 して、いざUSJの世界へ!
🎮 変わった?変わってない?エリアとアトラクションの進化
入場してすぐ、Nintendoエリアの入場抽選を申し込み。
以前はハリーポッターエリアが予約制 だったけど、今はスムーズに入れるようになっていて驚き!
さらに、アトラクションの変化 もたくさん!
✔ スパイダーマン → なし(😭)
✔ バックドラフト → なし(🔥)
✔ ターミネーター → なし(😱)
✔ ウッディ・ウッドペッカーのアニメーター → おさるのジョージに変更
時代の流れを感じつつ、ハリーポッターの「オリバンダーの杖」のお店は健在 でホッとしました♡

🧙♂️ ハリーポッターエリアで酔いとの戦い…⚡️

そのまま ハリーポッターのアトラクションへ!
スタンバイは 140分待ち だったけど、シングルライダーで 20分で乗車!
…が、やっぱりダメでした💦
ぐるぐる🌀🌀で気持ち悪くなりそうだったので、ほぼ目をつぶって過ごす(笑)
次回は 酔い止め必須 だなと痛感😭
❄️ 寒かったけど、やっぱり楽しい!
とにかく寒かった🥶!
でも、やっぱり USJのワクワク感は最高!
パーク内は 制服の学生さん や 海外の観光客 で大賑わい。
「きっといつもこんな感じなんだろうな〜」としみじみ。

そして、なんと 年パスを購入 しちゃいました!
これで あと2回は行ける(笑)!
次回は Nintendoエリアや、食べ歩きグルメも楽しみたい と思います✨
堺市でお口から健康に美しくを目指して
お口の中からエステをしています。
ほうれい線や二重顎、フェイスラインが気になる
食いしばり、歯ぎしりが気になる。
舌に歯型ついていて、朝起きたら顎に痛みがある
こんなお悩みの方にオススメの
オーラルエステですむし歯の進行度と治療方法

むし歯は 「C0(シーゼロ)」~「C4(シーフォー)」 の5段階に分類され、それぞれの進行度に応じた治療が必要になります。
🦷 C0(脱灰:初期むし歯)
🔹症状:歯の表面が白く濁る(白斑)、痛みなし
🔹状態:エナメル質が少し溶け始めた段階
🔹治療方法:
・フッ素塗布や フッ素入り歯磨き粉 で再石灰化を促す
・適切な歯磨きと 食生活の改善 で進行を防ぐ
→ この段階なら治療せずに元に戻る可能性あり!
🦷 C1(エナメル質のむし歯)
🔹症状:歯の表面に小さな黒や茶色の変色、痛みなし
🔹状態:エナメル質が少し溶け、穴が開き始める
🔹治療方法:
・小さいむし歯なら フッ素 で進行を防ぐ
・進行している場合は レジン(プラスチック)で詰める治療
→ この段階でも早期発見なら削らずに済むことも!
🦷 C2(象牙質まで進行したむし歯)
🔹症状:冷たいものや甘いものがしみる(知覚過敏のような痛み)
🔹状態:むし歯が エナメル質の奥(象牙質) まで進行
🔹治療方法:
・むし歯を削り、 レジンや金属の詰め物 で補修
→ ここからは削る治療が必要になる!
🦷 C3(神経まで進行したむし歯)
🔹症状:ズキズキと強い痛み、夜も眠れないほどの痛み
🔹状態:むし歯が 歯の神経(歯髄) に達し、炎症や感染を起こす
🔹治療方法:
・ 神経を取り除く治療(根管治療)
・ 被せ物(クラウン) をして歯を保護
→ この段階では、治療回数が増え、治療期間も長くなる!
🦷 C4(歯の根まで進行したむし歯)
🔹症状:痛みが消えるが、膿がたまると腫れる(根尖性歯周炎)
🔹状態:歯の大部分が溶け、根っこだけが残る状態
🔹治療方法:
・ 抜歯(歯を残せる可能性は低い)
・ 入れ歯・ブリッジ・インプラント で歯を補う
→ ここまで進むと、歯を残すのは難しくなる!
🦷 まとめ:むし歯は早期発見・早期治療が大切!
✔ C0・C1ならフッ素とセルフケアで進行を防げる
✔ C2からは削る治療が必要になる
✔ C3以降は神経の治療や抜歯の可能性が高まる
むし歯は 痛みが出る前に治療する ことが大切!
定期検診で 早めにむし歯を発見 することで、最小限の治療で済みますよ。
堺市でお口から健康に美しくを目指して
お口の中からエステをしています。
ほうれい線や二重顎、フェイスラインが気になる
食いしばり、歯ぎしりが気になる。
舌に歯型ついていて、朝起きたら顎に痛みがある
こんなお悩みの方にオススメの
オーラルエステですむし歯の原因とは?
むし歯(う蝕)は、 「細菌」「糖分」「歯の質」「時間」 の4つの要素が重なることで発生します。

① むし歯菌(ミュータンス菌)
お口の中にはたくさんの細菌がいますが、特に ミュータンス菌 はむし歯の主な原因菌です。
この菌は、糖分をエサにして 酸 を作り、その酸が歯を溶かしてしまうのです。
② 糖分(食べ物・飲み物)
砂糖を多く含む お菓子やジュース は、ミュータンス菌の大好物!
食べ物を食べると糖質に変化し長時間お口に残ると、菌が酸を作り続けるため、むし歯のリスクが高まります。
③ 歯の質(個人差)
歯のエナメル質が もともと弱い人 や、歯並びが悪く 歯磨きがしにくい人 は、むし歯になりやすい傾向があります。
また、 唾液の量 も影響し、唾液が少ないとお口の中の酸を中和しにくくなります。
④ 時間(お口の中に糖がある時間)
食事やおやつの回数が多いと、お口の中が 酸性の状態 になる時間が長くなります。
特に ダラダラ食べ は危険! 食べる時間を決めることで、むし歯予防につながります。
むし歯を予防するには?
1. 正しい歯磨き
2. おやつの回数を減らす(ダラダラ食べをしない)時間を決めて食べる
3. 定期的に歯科検診を受ける(初期むし歯の早期発見)
4. 唾液を増やす(よく噛んで食べる・口呼吸を防ぐ)
むし歯は 「原因」 を理解することで、しっかり予防できます!ちょっと意識するだけで、口の中は変わります。
ぜひ甘いものをダラダラと食べないしっかり夜寝る前に歯磨きするを心がけてみて下さい
堺市でお口から健康に美しくを目指して
お口の中からエステをしています。
ほうれい線や二重顎、フェイスラインが気になる
食いしばり、歯ぎしりが気になる。
舌に歯型ついていて、朝起きたら顎に痛みがある
こんなお悩みの方にオススメの
オーラルエステですいびきと睡眠時無呼吸症候群(SAS)について
いびきをかく人は意外と多いですが、単なる寝息ではなく 睡眠時無呼吸症候群(SAS:Sleep Apnea Syndrome) のサインである可能性もあります。
SASは放置すると 高血圧・心疾患・脳卒中 などのリスクが高まるため、注意が必要です。
今回は いびきの原因と無呼吸症候群との関係、改善策 について詳しく解説します。

いびきのメカニズム
いびきは、 空気の通り道(気道)が狭くなる ことで起こります。
狭くなった気道を空気が通ると、 軟口蓋(のどの奥の柔らかい部分)や舌根が振動 して音が出ます。
✔️ いびきを引き起こす原因
• 肥満(首周りの脂肪が気道を圧迫)
• 口呼吸(舌が落ち込みやすく、気道が狭くなる)
• 仰向け寝(舌根が落ちて気道が狭くなる)が本来寝る時には、仰向けが本当はいいんです。
• 鼻炎・アレルギー(鼻づまりで口呼吸になりやすい)
• アルコール・睡眠薬の影響(筋肉が緩み、舌根沈下が起こる)
軽いいびきであれば 寝姿勢の工夫 や 生活習慣の改善 で改善することが多いですが、 無呼吸を伴う場合は要注意 です。

睡眠時無呼吸症候群(SAS)とは?
SAS(睡眠時無呼吸症候群)とは、 睡眠中に10秒以上の無呼吸状態が何度も繰り返される病気 です。
SASの特徴的な症状
✔ 寝ている間
• 大きないびきと無呼吸(家族に指摘される)
• 突然の呼吸停止と、息を吸い込むような音
• 頻繁な寝返りや中途覚醒
• 熟睡できない
✔ 日中の症状
• 強い眠気や集中力低下
• 頭痛や倦怠感
• 起床時の喉の渇き
• 高血圧や不整脈の悪化
SASのタイプ
1. 閉塞性睡眠時無呼吸(OSA)(最も多い)
舌や軟口蓋が気道をふさぐことで起こるタイプ。
肥満・口呼吸・舌の筋力低下 などが原因。
2. 中枢性睡眠時無呼吸(CSA)
脳の呼吸中枢がうまく働かず、一時的に呼吸が止まるタイプ。
心不全・脳卒中の既往がある人 に多い。
3. 混合性睡眠時無呼吸(MSA)
OSAとCSAが合わさったタイプ。
放置すると怖いSASのリスク
SASを放置すると 酸素不足 による健康リスクが高まります。
✔️ 全身への影響
• 高血圧(睡眠中に血圧が上昇し、慢性化)
• 心筋梗塞・脳卒中(血管の負担が増加)
• 糖尿病の悪化(血糖値のコントロールが乱れる)
• 認知症リスクの上昇(脳の酸素不足)
• 交通事故のリスク(日中の眠気で注意力低下)
特に 高血圧や動脈硬化 がある人はSASの合併率が高く、早期の対策が必要です。
鼻呼吸とダイエット生活習慣の見直しとすごく難しい事ばかりですが、睡眠は人生の1/3を締めています。質の良い睡眠💤ができるようにしたいものです。
まとめ
✔ いびきは単なる寝息ではなく、睡眠時無呼吸症候群(SAS)のサインかもしれない
✔ SASは高血圧・心疾患・脳卒中のリスクを高めるため、放置は危険
こうなる前に口腔のトレーニングとオーラルコンディショニングでストレッチをする事で
軟口蓋のゆるみと舌のストレッチそしてセルフトレーニングでCPAP無しの生活が送れるといいですね。

これは、いびきのグラフですがお客様にいただきました。オーラルエステを受ける前と後になります。
SASのではないです。
「ただのいびき」と思わずに、しっかり対策を!
特に 朝の疲労感や日中の眠気がある人は、一度チェックしてみてください。堺市でお口から健康に美しくを目指して
お口の中からエステをしています。
ほうれい線や二重顎、フェイスラインが気になる
食いしばり、歯ぎしりが気になる。
舌に歯型ついていて、朝起きたら顎に痛みがある
こんなお悩みの方にオススメの
オーラルエステです
食いしばり・歯ぎしり・いびき 無呼吸症候群の関係とは?
「朝起きたら アゴが疲れてる…」
「歯ぎしり してるって言われた!」
「いびきがひどい…これって 無呼吸症候群?」
こうした症状、 実はつながっている かもしれません!

① 食いしばり・歯ぎしりとは?
ブラキシズム(歯ぎしりの事)・TCHと歯の健康への影響
無意識のうちに行っている「歯ぎしり」「食いしばり」などのクセは、口腔内に大きな負担をかけています。これらは ブラキシズム(歯ぎしり) や TCH(Tooth Contacting Habit:上下歯列接触癖) と呼ばれ、放置すると歯や顎に深刻な影響を及ぼします。
ブラキシズムとは、無意識に歯を強く噛みしめたり、擦り合わせたりする習慣のことです。主に以下の3種類があります。
1. グラインディング(Grinding)
上下の歯を ギリギリと擦り合わせる タイプの歯ぎしりです。
特に睡眠中に起こることが多く、歯の摩耗や知覚過敏の原因になります。
✔️ 影響:歯のすり減り、詰め物・被せ物の破損、顎関節症のリスク上昇
2. クレンチング(Clenching)
歯を 強く食いしばる タイプで、音がしないため自覚しにくいのが特徴です。
日中のストレス下で無意識に発生することもあります。
✔️ 影響:歯のヒビ・破折、歯周病悪化、筋肉の疲労や肩こり・頭痛
3. タッピング(Tapping)
上下の歯を カチカチと噛み合わせる 動作を繰り返すタイプです。
頻度は少ないですが、歯や歯根にダメージを与える可能性があります。
TCH(上下歯列接触癖)とは?
TCH(Tooth Contacting Habit)とは、 常に上下の歯を接触させてしまうクセ のことです。
通常、リラックスしているときは上下の歯の間に1~2mmの隙間があるのが正常ですが、TCHがあると 無意識に歯が触れ続けてしまい、顎や歯に負担がかかります。
✔️ TCHが引き起こすトラブル
• 顎関節症の悪化
• 歯や詰め物・被せ物の破損
• 咀嚼筋の疲労(顔や首・肩のコリ)
• 頭痛やめまい
ブラキシズムとTCHの関係
特に クレンチング(食いしばり) と TCH は関連が深いとされています。
TCHのクセがある人は、日常的に歯を接触させているため 咀嚼筋が緊張しやすく、結果として 食いしばりや歯ぎしり に発展することが多いです。
そのため、TCHの改善は ブラキシズムの予防 にもつながります。
対策・予防法
1. 歯を離す習慣をつける
リラックス時は 上下の歯が接触しない のが正常です。
「歯を離す」「舌を上あごにつける」ことを意識しましょう。
舌を上顎につけて口を閉じると上下の歯が接触しにくくなります。

👉 おすすめの習慣
• パソコンやスマホに「歯を離す」のメモを貼る
• 食事以外で歯が接触していないかチェックする
• 「鼻呼吸」を意識する(口呼吸だとTCHになりやすい)
2. ストレス管理
ストレスが溜まると 無意識に歯を食いしばる ことが増えます。
適度な運動やリラックス方法を取り入れ、ストレスをコントロールしましょう。
✔️ リラックス方法
• 深呼吸をする
• お風呂でゆっくり温まる
• 寝る前にストレッチをする
• カフェインを控えめにする
✔️ おすすめ対策
・口腔底を整える様にセルフケアする
• ナイトガード(マウスピース)を使う
• 寝る前に口腔をマッサージする→ストレッチオーラルで行う
• 硬い枕ではなく、低めの枕を使う
まとめ
「歯を守るためには、歯を離す習慣が大事!」
気づいたときに 「今、歯が当たってないかな?」 とチェックするだけでも改善につながります。
オーラルエステでは、固まった筋肉を緩めて、歯と歯が当たり難い口づくりをお手伝いしています。
今日からぜひ意識してみてください!
堺市でお口から健康に美しくを目指して
お口の中からエステをしています。
ほうれい線や二重顎、フェイスラインが気になる
食いしばり、歯ぎしりが気になる。
舌に歯型ついていて、朝起きたら顎に痛みがある
こんなお悩みの方にオススメの
オーラルエステです口呼吸 vs 鼻呼吸 どっちがいい?

「口で呼吸するのがクセになってる…」
「寝てるとき、口が開いてるかも?」
そんなあなた! 口呼吸はデメリットだらけ なんです。
今日は 口呼吸と鼻呼吸の違い をしっかり解説します!
① 口呼吸のデメリット
口呼吸を続けていると…
❌ 口の中が乾く → むし歯・歯周病リスクUP!
唾液が減ると 細菌が増えて口臭の原因 にも!
❌ 免疫力が低下
鼻はウイルスやホコリを フィルターでブロック しますが、
口呼吸では ダイレクトに体内へ …風邪をひきやすくなります。
❌ 歯並びが悪くなる
口がポカンと開くと 舌の位置が低くなり、歯並びが崩れる ことも。
❌ 顔のたるみ・二重あごの原因に
口呼吸は 口周りの筋肉が衰えてフェイスラインが崩れる 原因になります!
❌ いびき・睡眠の質が低下
口が開いたまま寝ると 気道が狭くなり、いびきや無呼吸症候群の原因 に。
② 鼻呼吸のメリット
鼻で呼吸するだけで 健康&美容にいいことだらけ!
✅ ウイルス・細菌をブロック!
鼻毛や鼻の粘膜が ホコリやウイルスをキャッチ して、体を守ります。
✅ 口の中が乾かず、むし歯・口臭予防に◎
唾液がしっかり出て 口の中を洗浄&自浄作用UP!
✅ 舌の位置が正しくなり、歯並びキレイに
鼻呼吸だと 舌が上あごに自然とつく ので、歯並びや噛み合わせが整います。
✅ 顔のたるみ予防&フェイスラインがスッキリ!
口周りの筋肉が鍛えられ 二重あごやほうれい線を防ぐ 効果も。
✅ 睡眠の質UP! いびき防止にも◎
鼻呼吸だと 酸素をしっかり取り込み、熟睡しやすくなります。
③ 口呼吸のチェックリスト!
「もしかして私、口呼吸?」と思ったら、まずはセルフチェック!
✅ 普段、無意識に口が開いている
✅ 朝起きたとき、口がカラカラに乾いている
✅ いびきや口臭が気になる
✅ 風邪をひきやすい
✅ 歯並びが悪くなってきた
✅ 唇が乾燥しやすい
1つでも当てはまったら、要注意!
今日から 鼻呼吸習慣 を意識してみましょう!
④ 鼻呼吸を習慣にする方法
1️⃣ 「あいうべ体操」で口周りの筋肉を鍛える
「あー」「いー」「うー」「べー」と大きく口を動かすだけ!
2️⃣ 舌を上あごにつける習慣を!
舌が 上あごについている=鼻呼吸の証拠!
意識して 舌の位置を正しく しましょう。
3️⃣ 鼻詰まりを改善(鼻うがい・加湿)
鼻が詰まると 口呼吸になりがち!
塩水での 鼻うがい や加湿で鼻の通りを良くしましょう。
まとめ:口呼吸 vs 鼻呼吸 どっちがいい?

もう、口呼吸は卒業!
今日から 意識して鼻呼吸 を続けてみましょう!堺市でお口から健康に美しくを目指して
お口の中からエステをしています。
ほうれい線や二重顎、フェイスラインが気になる
食いしばり、歯ぎしりが気になる。
舌に歯型ついていて、朝起きたら顎に痛みがある
こんなお悩みの方にオススメの
オーラルエステです口内炎?口腔がん? それとも
見た目が似ていても全く違うもの! 口の中のできもの、放置していませんか?
口内に 白いできものや膨らみ を見つけたとき、
「ただの口内炎かな?」
「骨が出っ張ってるだけかも?」
と 自己判断 してしまうことがあります。
しかし、それが 口腔がん の初期症状かもしれません!
今日は 口内炎・口腔がん・骨隆起の違い をしっかり解説します。
① 口内炎:刺激や免疫低下でできる一時的な炎症

✅ 特徴
・円形~楕円形で、中央が白っぽくなっている
・周りが赤く炎症を起こしている
・食べるとしみる、痛い
・1~2週間で自然に治る
✅ 原因
・疲労やストレス
・栄養不足(特にビタミンB群)
・歯が当たる、噛んでしまう
✅ 対処法
・刺激物(辛い・熱い食べ物)を避ける
・ビタミンB群を摂る(納豆・卵・レバーなど)
・うがいをして清潔に保つ
⚠️ 2週間以上治らない場合は、口腔がんの可能性も!
② 口腔がん:長引く口内炎に注意!

✅ 特徴
・2週間以上治らない口内炎のようなものがある
・痛みがないことも多い
・硬いしこりがある
・出血しやすい、ただれが広がる
✅ 好発部位(できやすい場所)
・舌(特に側面)
・歯ぐき
・頬の内側
✅ リスクが高い人
・タバコやお酒をよく摂る
・入れ歯や被せ物が常に当たっている
・慢性的に刺激を受けている
✅ 対処法
「これ、口内炎かな?」と思っても、2週間以上続くならすぐに歯科や口腔外科を受診!
口腔がんは 早期発見がカギ です!
③ 骨隆起:骨が盛り上がる生理的な現象

✅ 特徴
・痛みはない
・徐々に大きくなるが、悪性ではない
・歯ぐきの近くや口蓋(上あご)にできやすい
・左右対称にできることが多い
✅ 原因
・歯ぎしりや食いしばりの力で骨が発達する
・遺伝的要因
✅ 対処法
・通常は 治療不要
・義歯が当たって痛い場合は外科的に削ることも
⚠️ 骨隆起は自然なものですが、自己判断は禁物!
不安なら歯科で相談を!
まとめ:見分けるポイント!

ちょっと見にくいですが💦
「様子を見よう…」は危険!
✅ 口内炎が 2週間以上治らない → 歯科受診
✅ 硬いしこりや出血しやすい部分がある → 口腔がんの可能性
✅ 痛みはないけど骨が出っ張っている → 骨隆起の可能性
堺市でお口から健康に美しくを目指して
お口の中からエステをしています。
ほうれい線や二重顎、フェイスラインが気になる
食いしばり、歯ぎしりが気になる。
舌に歯型ついていて、朝起きたら顎に痛みがある
こんなお悩みの方にオススメの
オーラルエステです歯の磨き方と磨き残ししやすい部分
毎日しっかり歯を磨いているつもりでも、実は磨き残しがあることが多いもの。正しいブラッシング方法を知って、効率よく磨きましょう!
① 正しいブラッシング方法

歯を健康に保つためには、力任せにゴシゴシ磨くのではなく、適切な力加減・角度・動かし方が大切です。
✔ 歯ブラシの持ち方
・ペンを持つように軽く握る(力を入れすぎない)グット握ってしまうと、力も入るし、大きくしか動かせない
・手首を使って細かく動かす
・膝もはって良いです
✔ 歯ブラシの当て方
・歯と毛先は直角に当てる
・歯の形に合わせて少しづつ当てて行く
✔ 動かし方
・1本ずつ小刻みに(大きく動かすと磨き残しが増える)
・1か所につき10〜20回ほど優しく磨く
・1回のブラッシングで3分以上かけるのが理想
✔ 力加減
・歯ブラシの毛先が広がらない程度の軽い力で
・強く押し付けると、歯ぐきを傷つけたり、知覚過敏の原因に
・歯ブラシの毛がカサカサと少し動く感じ
② 磨き残ししやすい部分

自分ではしっかり磨いているつもりでも、以下の部分は特に磨き残しが多いです。
✔ 奥歯の奥
→ 一番奥の歯は歯ブラシが届きにくいため、磨きにくい所から意識して磨く
✔ 歯と歯の間
→ フロスや歯間ブラシを併用すると、より効果的 歯ブラシよりも先に使うがオススメ
✔ 歯の裏側(特に前歯の裏)
→ 歯ブラシを縦に使うと磨きやすい
✔ 歯並びが悪い部分
→ 毛先を細かく動かし、しっかり当てる
毎日のブラッシングを見直すだけで、歯の健康が大きく変わりますよ
堺市でお口から健康に美しくを目指して
お口の中からエステをしています。
ほうれい線や二重顎、フェイスラインが気になる
食いしばり、歯ぎしりが気になる。
舌に歯型ついていて、朝起きたら顎に痛みがある
こんなお悩みの方にオススメの
オーラルエステです唾液の効果シリーズ

消化を助ける
「よく噛んで食べましょう」と言われるのは、 唾液が消化を助ける 役割を持っているからです。食事の際にしっかり唾液を出すことで、 胃腸の負担を減らし、栄養をしっかり吸収できる ようになります。
① アミラーゼがデンプンを分解
唾液には アミラーゼ(消化酵素) が含まれており、ご飯やパンなどのデンプンを糖に分解 します。この働きにより、胃や腸に届く前から 消化が始まり、スムーズにエネルギーへ変換 されるのです。
② 胃腸の負担を軽減
しっかり噛んで唾液を出すことで、食べ物が 細かくなり、胃腸での消化吸収がスムーズ になります。特に 年齢とともに消化機能が低下しやすい ため、唾液を増やすことは 胃もたれや便秘の予防にもつながる のです。
唾液を増やして消化を助けるポイント
• 食事は一口30回を目安によく噛む
• 食事中に水を飲みすぎない(唾液が薄まる)
アンチエイジングにも効果

「若々しさを保つ秘訣は 唾液 にある!」と言っても過言ではありません。実は、唾液には老化を防ぐ働き があり、美容や健康に欠かせない要素の一つなのです。
① 活性酸素を抑えて老化防止
唾液には ラクトフェリンやペルオキシダーゼ という 抗酸化作用 を持つ成分が含まれています。これらは 細胞を老化させる活性酸素を抑える 作用があり、シワやたるみの予防、肌のハリを保つ 効果が期待できます。
② 成長ホルモンを活性化
唾液には パロチン という成分が含まれており、これは 成長ホルモンを活性化させ、肌や骨の再生を助ける 働きがあります。年齢とともに減少しやすい成分なので、唾液の分泌を促すことがアンチエイジングにつながる のです。
唾液を増やして若々しさを保つポイント
• よく噛んで食べる(唾液の分泌を促す)
• 口周りの筋肉を鍛える(フェイスラインの引き締め効果)
•ストレスをためない(自律神経のバランスを整え、唾液を増やす)
胃腸の調子が整えば、健康や美容にも良い影響 を与えてくれます!
唾液は 消化を助けるだけでなく、若々しさを保つカギ でもあります。日々の習慣を見直しながら、健康と美しさを維持 していきましょう!
これで 唾液シリーズ完結 です!
これまでの内容を活かして、ぜひ 唾液の力を最大限に活用 してください
堺市でお口から健康に美しくを目指して
お口の中からエステをしています。
ほうれい線や二重顎、フェイスラインが気になる
食いしばり、歯ぎしりが気になる。
舌に歯型ついていて、朝起きたら顎に痛みがある
こんなお悩みの方にオススメの
オーラルエステです唾液の驚くべき効果シリーズ
歯を守る(再石灰化)
毎日の食事や飲み物によって、歯の表面は 酸にさらされ、ミネラルが溶け出してしまいます。この状態が続くと むし歯 になりやすくなります。そこで重要なのが 唾液の再石灰化作用 です。
① 再石灰化とは?

再石灰化 とは、唾液に含まれる カルシウムやリン などのミネラルが 歯の表面(エナメル質)に戻る ことで、むし歯になりかけた部分を修復する仕組みです。これにより 歯が強くなり、むし歯を防ぐ ことができます。
② 唾液の緩衝作用(酸を中和する力)
食後の口の中は 酸性 に傾き、歯が溶けやすい状態になります。しかし、唾液の 緩衝作用(酸を中和する働き) によって、時間とともに 中性 に戻り、歯のダメージを抑えます。
唾液を増やして歯を守るポイント
• 食事はしっかり噛む(唾液の分泌を促す)
• 砂糖を多く含む食品を控える(むし歯のリスクを減らす)
• こまめに水を飲む(口の中を潤し、酸を洗い流す)
粘膜保護
唾液は 口の中の粘膜を守る 重要な役割を果たしています。唾液が不足すると 口の中が乾燥し、傷つきやすくなり、口内炎や感染症のリスクが高まる こともあります。
① 粘膜を潤して保護する
唾液に含まれる ムチン は、粘膜に 潤いの膜 を作り、乾燥や刺激から守る働きをします。これにより 食べ物の飲み込みをスムーズにし、口内炎を防ぐ ことができます。
② 傷を修復する働き
唾液には 上皮成長因子(EGF) という成分が含まれており、傷ついた粘膜を 修復する作用 があります。そのため、口内炎や小さな傷ができても、唾液の力で治りが早くなります。
唾液を増やして粘膜を守るポイント
• 水分補給をしっかりする(口の乾燥を防ぐ)
• アルコールや刺激の強い食品を控える(粘膜を守る)
• 食事の際によく噛む(唾液の分泌を促す)

堺市でお口から健康に美しくを目指して
お口の中からエステをしています。
ほうれい線や二重顎、フェイスラインが気になる
食いしばり、歯ぎしりが気になる。
舌に歯型ついていて、朝起きたら顎に痛みがある
こんなお悩みの方にオススメの
オーラルエステです





堺市でお口から健康に美しくを目指して
お口の中からエステをしています。
ほうれい線や二重顎、フェイスラインが気になる
食いしばり、歯ぎしりが気になる。
舌に歯型ついていて、朝起きたら顎に痛みがある
こんなお悩みの方にオススメの
オーラルエステです唾液の驚くべきチカラ!
私たちの口の中では、 1日約1〜1.5リットル の唾液が分泌され、健康や美容に大きく関わっています。
唾液の種類

✔ サラサラ唾液(漿液性) → リラックス時に分泌 され、消化を助け、口臭を防ぐ
→耳下腺、顎下腺
✔ ネバネバ唾液(粘液性) → 緊張時に分泌 され、細菌の侵入を防ぐバリアの役割
→舌下腺
唾液の量や質が低下すると、口の中だけでなく全身の健康にも影響を及ぼします。
① 口臭予防・抗菌作用
唾液には リゾチーム、ペルオキシダーゼ、ラクトフェリン などの 抗菌成分 が含まれており、口内の細菌の繁殖を防ぎます。
唾液が減ると…
✔ 口の中が乾燥し 細菌が増殖 → 口臭が強くなる
✔ 舌の表面に 舌苔(ぜったい) がつきやすくなる
✔ 歯周病菌が繁殖し、 歯周病や虫歯のリスク が高まる
特に 寝ている間 は唾液の分泌が減り、朝起きたときに口臭を感じやすくなります。
対策ポイント!
・しっかり 噛んで食べる(噛む回数を増やすと唾液が出やすい)
・こまめに水分補給(脱水状態を防ぐ)
・口呼吸を避け、鼻呼吸を意識
② 免疫力アップ
唾液には IgA(免疫グロブリンA) という 免疫物質 が含まれ、ウイルスや細菌の侵入を防ぐ役割があります。
唾液の分泌が減ると…
✔ 風邪やインフルエンザにかかりやすくなる
✔ 口内炎や喉の痛みが出やすくなる
✔ 口の中の 傷が治りにくくなる
特に ストレスが多いと交感神経が優位になり、唾液の分泌が減少 します。
対策ポイント!
・深呼吸やストレッチで リラックスする(副交感神経を活性化)
・唾液を増やす 唾液腺マッサージ を取り入れる
・よく笑う(笑うことで唾液腺が刺激される)
唾液を味方につけることで、健康も美容もアップ!
